
Qzone
微博
微信
当爱宠不愿奔跑、拒绝跳跃,甚至因疼痛而退缩——这往往是肌肉骨骼系统发出的求救信号。宠物骨科,正是致力于恢复运动功能的精准学科。我们依托数字化X光、3D重建、步态分析,精确评估骨骼结构与关节力学;凭借关节置换、TPLO/TTA矫形术与显微骨折固定技术,处理从发育性关节疾病、韧带损伤到复杂骨折等各类骨科挑战。瑞派骨科专家团队以科学精神对待每一个病例,不错过任何角度的力线异常,不忽视任何一处骨骼的愈合细节。愿以技术与匠心,为爱宠重建行动信心,找回生命的活力与尊严。
【宠物心脏科经典病例】
Part1:吴泉太,厦门瑞派糠宝宠物医院莲前分院院长
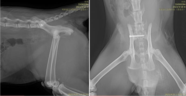
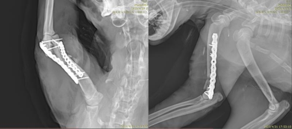
一只2岁7个月的雄性英国短毛猫,从8楼高处坠落,出现尿血、呼吸急促及右前肢与骨盆区严重功能障碍。接诊后,吴泉太院长立即启动多系统评估。X线检查显示右侧肱骨远端粉碎性骨折、髋关节脱位伴髂骨前移;血液检测提示高血糖、肾功能异常及红细胞增多,综合确诊为“高坠综合征伴多发性骨折与脏器损伤”。
面对这一危及生命的复杂创伤,吴院长制定了分期治疗方案:优先稳定生命体征,通过静脉补液纠正脱水与电解质紊乱,同时实施强效镇痛与抗生素预防感染。待患猫状况稳定后,随即开展骨科重建手术——包括右侧肱骨骨折内固定术、髋关节复位与髂骨稳定术,精准恢复骨骼结构与关节对位。
该病例的难点不仅在于多处骨折与脱位的精准复位,更在于全身多系统损伤背景下,如何平衡手术时机、控制感染风险并促进组织愈合。吴院长通过骨科手术与内科支持的协同管理,实现了创伤修复与全身稳定的双重目标。
术后3周复查显示,骨折部位愈合良好,关节功能逐步恢复,血液指标恢复正常,精神与食欲明显改善。这也充分体现了吴泉太院长拥有在严重创伤救治中的综合决策能力,既能通过精准的骨科技术重建骨骼结构,又能依托全面的内科管理为复杂创伤患者创造最佳康复条件。
本案例也再次提醒宠主,高层养猫必须做好封窗防护,避免类似悲剧发生。
Part2:刘玉龙,杭州瑞派虹泰宠物医院环东总院骨科与神经外科主任
7个月大的雄性金毛犬,自5月龄起便表现出严重的运动功能障碍,出现典型的“兔跳”步态,起立与行走困难。此前辗转多家医院,髋关节发育不良的问题始终未能得到有效解决。
经系统影像学检查,刘玉龙医生确诊其为严重的双侧髋关节发育不良。考虑到患犬年龄小、病情重,若仅采取保守治疗或股骨头切除术,将无法逆转其进行性关节退化与功能障碍。在与主人充分沟通后,刘玉龙医生决定为其施行双侧髋关节置换术,从根本上重建髋关节结构与功能。
该病例的难点不仅在于患犬骨骼尚未完全发育成熟,手术精度要求极高;更在于双侧置换对手术规划、麻醉管理及术后康复都提出了系统性挑战。刘玉龙医生凭借丰富的关节外科经验,制定了分期手术方案,通过精确的假体选择与植入,成功恢复了患犬双侧髋关节的力学支撑与活动能力。术后患犬恢复顺利,运动功能显著改善,步态趋于正常,生活品质得到根本性提升。
刘玉龙医生强调,对于金毛等髋关节疾病高发品种,应从小控制体重、补充关节营养,并定期进行骨科体检,以实现早期预防与干预。该病例也证明,对于严重的髋关节发育不良,在专业团队支持下实施关节置换术,是重建运动能力、改善长期预后的有效途径。
【瑞派宠物骨科与神经外科介绍】
瑞派骨科与神经外科专科组汇聚了杜浪、曹浪峰、宋火松、吴泉太、刘玉龙、吴静、李成豪等一批临床经验丰富、技术实力雄厚的专家团队。他们以深厚的专业积淀与协同协作精神,共同构建起覆盖全国的技术服务网络。
依托完善的硬件支持,团队全面开展各类高难度手术,包括:犬猫全髋置换术,前十字韧带断裂的TPLO、TTA、脑室分流、脑肿瘤切除等神经外科手术,寰枢椎脱位固定,各类脊柱手术,以及复杂骨盆与四肢骨折修复术。
每年,瑞派骨科与神经外科团队为全国范围内数千例病患宠物实施手术与系统治疗,帮助它们重获健康与活力。我们以国际化的技术体系、规范化的诊疗流程、系统化的术后康复,为中国宠物的骨骼健康与神经功能重建提供坚实保障,守护每一份奔跑与跳跃的自由。
【瑞派宠物骨科与神经外科代表】
吴泉太
毕业于贵州大学
国内首批职业兽医师
东西部优秀青年兽医
擅长犬猫骨科、神经外科、软组织外科。曾参加SAO麻醉及骨科、骨盆及膝关节手术、PGR、TPLO、脊柱外科以及神经外科培训。成功完成数千例手术。
刘玉龙
毕业于扬州大学
瑞派虹泰宠物医院环东总院
骨科主任/神经外科主任
瑞派股份医学技术委员会副主任
虹泰宠物医院外科团队带头人
双系统小动物髋关节置换认证、美国康奈尔大学神经外科培训认证
AOVET高级会员,发表数篇专业期刊文章
第十三界上海小动物兽医大会优秀论文奖
擅长小动物软组织外科,骨科:髌骨矫形、TTATPLOMMPCTWO(前十字韧带修复术)、DPO(骨盆两刀切)、PGR(滑车置换)、THR(全髋置换术)、TKA(全膝关节置换),神经外科,微创腔镜,关节镜,MRI。
截至2025年,开展了10余期专科骨科培训。
TOM2025-11-06 17:3311-06 17:33