
Qzone
微博
微信
从活力四射的幼年到安稳幸福的晚年,一颗健康的心脏是它们享受生命的基石。宠物心脏科,致力于实现从早期风险筛查、精准诊断到长期药物治疗与营养支持的全周期健康管理。我们整合最前沿的影像诊断技术与心血管药物方案,早期干预肥大性心肌病、慢性瓣膜病等常见心脏问题,竭力延缓疾病进程,提升生活质量。瑞派心脏专科团队愿作您爱宠一生的健康伙伴,以全面的诊疗方案和持续的病情监测,守护它们胸腔中那团不息的生命之火。
【宠物心脏科经典病例】
Part1:刘传敦,瑞派心脏科专科组长,深圳瑞派福华宠物医院南山院院长
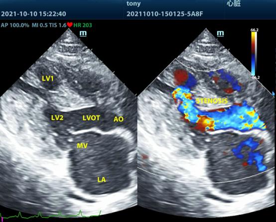
在刘传敦院长的职业生涯中,每一个疑难病例都是对其专业能力的深度淬炼。英国短毛猫Tony心源性肺水肿的成功救治,堪称他将深厚理论功底与丰富临床经验完美结合的典范案例。
面对Tony突发的心力衰竭复发并伴随严重气道阻塞的危急病情,刘传敦院长凭借敏锐的专业判断,果断采用当时国内尚属罕见的呼吸机正压通气治疗方案。这一决策不仅需要准确把握治疗时机,更要求医生具备扎实的专业底蕴和丰富的临床经验。在治疗过程中,他通过深度镇静与气管插管的精准配合,有效清除了气道阻塞物,并借助呼吸机正压通气技术成功克服了气道阻力,为改善心功能赢得了宝贵时间。
这一成功案例的背后,是刘院长在专业领域的长期积淀。他不仅注重医疗技术的持续精进,更重视与宠物主人之间的有效沟通。治疗过程中,他通过通俗易懂的专业阐释和真诚的交流,赢得了宠物主人的理解与信任,为实施复杂治疗方案创造了必要条件。
【瑞派宠物心脏科介绍】
瑞派心脏专科组是由一群成熟的、朝气蓬勃的、为了梦想而努力拼搏的优秀兽医师所组成,主要有刘传敦、罗庚、李静、李丽、汤新维等众多心脏专科兽医师,他们在犬猫常见获得性和先天性心脏疾病的诊断、治疗上有着丰富的经验,能熟练地使用心电图机和彩色多普勒超声波诊断仪等仪器检查和辅助心脏疾病的诊断、治疗监测和预后。
心脏专科组保持着与国际小动物临床接轨的学习精神,组内医师们非常活跃地参加国内外有关小动物心脏病领域的进修,包括参加国内外著名的小动物心脏病课程等专科学习,部分成员经常出访台湾、日本、欧美等国家,参与更多的进阶课程学习和交流。
瑞派心脏专科组将加快建设我国小动物心外科治疗中心,并在我国开展小动物心脏介入治疗等技术,为犬猫等毛孩子们带来更高水平的心脏病解决方案。
【瑞派宠物眼科代表】
刘传敦
华南农业大学兽医临床内诊硕士
深圳瑞派福华宠物医院南山院院长
瑞派心脏科专科组长
中国兽医协会兽医心脏(小动物)专科委员会委员
国内首批兽医心脏(小动物)专科医师
擅长心血管、内科(呼吸/肝胆/肾/内分泌疾病等)疾病诊治与管理以及影像学诊断(超声)。
社会任职:
广东省畜牧兽医学会小动物医学分会心脏专科委员会主任,华南农业大学硕士研究生校外导师。
担任ESVC欧洲心脏病学协会会员,ISFM国际猫病协会会员,勃林格中国区心脏病专家组成员&顾问讲师,玛氏/硕腾/礼来/爱德士/信元中国区特聘讲师(KOL),迈瑞/百胜/飞依诺等超声厂商特聘讲师,心脏专科CACT讲师团成员。
多次受邀在世界小动物医师大会WSAVS、中国小动物医师大会/专科会、北京小动物医师大会、东西部小动物医师大会以及猫科医学大会授课分享;为勃林格心脏病例大赛,爱德士勃林格肾病病例大赛以及东西部猫病大赛评委。
*所培养的研究生毕业论文盲审AA通过。
获奖情况:
中国兽医协会兽医继续教育优秀讲师
第一届小动物兽医专科发展大会小动物兽医菁英名师
亚洲小动物专科医师大会专科菁英医师
第四届中国小动物医师大会优秀青年医师
首届粤港澳兽医年会广东省优秀青年兽医师
首届大湾区优秀小动物医师
学术成就:
先后参与编写、审校翻译多部书籍,参与起草由中国兽医行业协会主导的《犬猫心脏超声检查技术规范》《犬猫心律失常的心电图判读规范》《猫心律失常的心电图判读规范》。
获得一项专利成就《一种犬猫类小型动物临床心脏超声保定装置》,已授权。
发表科研论文关于《内毒素对体外培养肝细胞线粒体功能、基因表达以及蛋白表达的影响》若干篇(国内核心期刊)。
发表临床论文《2022-2023年深圳地区犬退行性瓣膜疾病临床特征与超声心动特征的回顾性研究与分析》至国外SCI期刊成功收纳。
以及发表若干篇学术论文。