
Qzone
微博
微信
“疼得睡不着,吃止痛药也只能顶一会儿……”这句话,或许道出了无数腰腿痛患者的心声。尤其对于高龄老人,难道只能默默忍受吗?
今天,我们通过一位89岁老奶奶的真实故事,为大家介绍一种安全、精准、高效的微创治疗选择——腰椎间盘神经根阻滞术。希望能为深受腰腿痛困扰的朋友,提供一种创伤更小、风险更低的新思路。
患者故事:当高龄遇上难缠的腰腿痛
89岁的梁奶奶(化名),被腰腿部剧痛折磨了两年多。近一个月,疼痛更是变本加厉,让她坐立难安,连睡个安稳觉都成了奢望。
更棘手的是,梁奶奶的身体状况复杂,不仅患有糖尿病、真性红细胞增多症,还做过下肢动脉手术。去年,她甚至为此接受了一次腰椎开放大手术,但术后疼痛并未完全消失。最近,那种放射性的剧烈疼痛卷土重来,经检查,是“腰椎间盘突出压迫了右侧神经根”。
面对如此高龄且多病缠身的梁奶奶,再次进行高风险的大手术显然不是最佳选择。难道只能依靠止痛药,在疼痛中度过余生吗?
神经根阻滞术——精准的“靶向治疗”
神经根阻滞术,可以通俗地理解为一种“精准靶向治疗”。
我们的腰椎神经根就像一根根从脊髓发出的“电线”,负责支配腿部的感觉和运动。当腰椎间盘突出或骨质增生压迫到某根“电线”时,就会导致该区域剧烈疼痛。
而神经根阻滞术,就是在先进的影像设备(如DSA或CT)实时引导下,将一根极细的穿刺针,精准地送到被压迫的神经根旁边,然后注入少量消炎镇痛药物。这就像给发炎、受刺激的神经根,进行了一次高效的“局部药浴”:
1)快速消炎:直接作用于炎症和水肿部位,效果远优于口服药;
2)高效镇痛:迅速阻断疼痛信号的产生和传递;
3)精准诊断:如果注射后疼痛显著缓解,就能明确找出是哪一根神经根在“作祟”,为后续治疗提供关键依据。
奇迹发生:微创小针,解决大痛苦
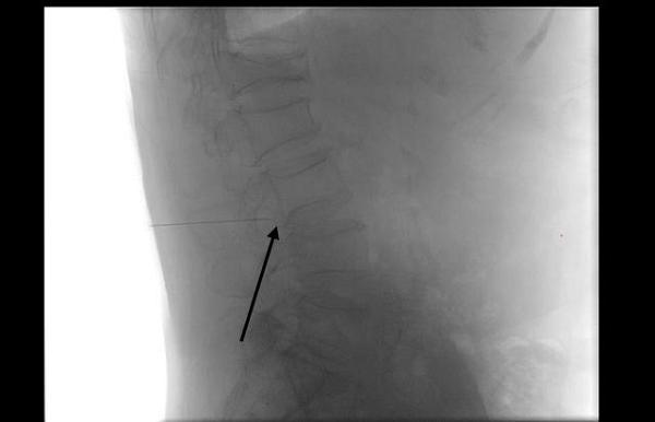
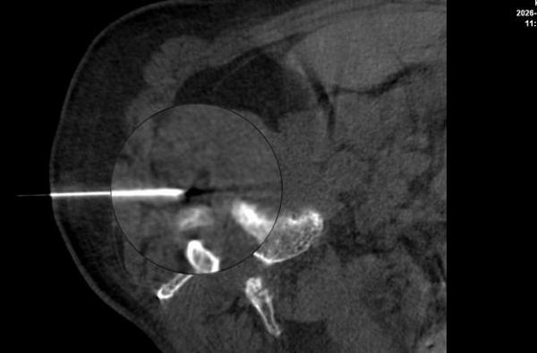
面对梁奶奶的复杂情况,我院介入科王伟中主任、姚杰雄副主任、查煌旗医师团队,联合DSA技师、介入护士,为她量身定制了治疗方案,并成功实施了“右侧神经根阻滞治疗”。结果,远超所有人的预期!
图:医生在影像引导下,精准定位病灶
图:细针穿刺至受压神经根,进行精准给药
治疗结束后,梁奶奶惊喜地发现,原本剧痛难忍的下肢竟然可以轻松抬起来了!那种放射性的剧痛得到了立竿见影的缓解。
最让一家人激动的是,当天晚上,梁奶奶终于摆脱了疼痛的纠缠,安安稳稳地睡了一个好觉。相比于之前的开放大手术,这次治疗的优势不言而喻:
1)创伤极小:仅留下一个针眼,堪称“针孔”上的治疗。
2)安全性高:全程影像实时监控,精准避开重要血管和神经,尤其适合高龄、体弱的患者。
3)恢复极快:治疗过程短,术后即可下地活动,几乎不影响正常生活。
4)效果确切:药物直达病灶,起效迅速,效果显著。
专家提醒:哪些人最适合这种治疗?
神经根阻滞术是治疗腰椎间盘突出引起的神经根性疼痛的成熟微创技术,尤其适用于以下人群:
·典型的“根性痛”患者:表现为从腰部或臀部,向大腿、小腿放射性的疼痛、麻木。
·保守治疗无效者:经过吃药、理疗等保守治疗后,疼痛仍无法缓解。
·无法耐受开放手术者:因年龄大、合并心肺疾病等原因,手术风险高。
·术后残余痛者:可作为腰椎手术后,处理残余疼痛的有效手段。
梁奶奶的成功案例告诉我们:年龄不是放弃治疗的借口,复杂的病情也绝非无解的难题。现代医学的微创介入技术,为更多像梁奶奶这样的患者,提供了安全、有效的新选择。
本文指导专家